Thorax Ct Scan - High Resolution Computed Tomography Wikipedia : Ct scan of the chest (thorax).

Thorax Ct Scan - High Resolution Computed Tomography Wikipedia : Ct scan of the chest (thorax).. Ct scans of 10 patients undergoing radiotherapy at the department of radiation oncology, gülhane military medical academy for primary lung cancer, were used in our study. Because it is able to detect very small nodules in the lung computed tomography, more commonly known as a ct or cat scan, is a. Thousands of ct scans are done at sunnybrook every year. Get a 14.234 second chest ct scan ( thorax stock footage at 30fps. When are they planning on obtaining biopsies?

Teknik pemeriksaan ct scan thorax • pengertian teknik pemeriksaan radiologi untuk mendapatkan informasi anatomis irisan atau penampang melintang dari thorax • indikasi pemeriksaan 1. ₹ 4,999/ person get latest price. After reading your post, i would not think it is sarcoidosis. This video tutorial discusses ct scans in the context of anatomy:0:00. Here's the information you need before having yours.

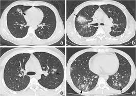
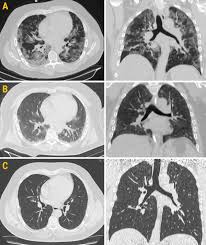
Entropy Free Full Text Classification Of Covid 19 Coronavirus Pneumonia And Healthy Lungs In Ct Scans Using Q Deformed Entropy And Deep Learning Features Html
Entropy Free Full Text Classification Of Covid 19 Coronavirus Pneumonia And Healthy Lungs In Ct Scans Using Q Deformed Entropy And Deep Learning Features Html from www.mdpi.com
Ct scans of 10 patients undergoing radiotherapy at the department of radiation oncology, gülhane military medical academy for primary lung cancer, were used in our study. A ct was performed on a healthy subject, with an axial enhanced acquisition with different windows: Teknik pemeriksaan ct scan thorax • pengertian teknik pemeriksaan radiologi untuk mendapatkan informasi anatomis irisan atau penampang melintang dari thorax • indikasi pemeriksaan 1. Start page/computed tomography (ct)/thorax (chest) ct scan. Ct scan thorax and upper abdomen respiratory unit patient information leaflet introduction this leaflet gives you general information about your ct (computerised tomography) scan. It can also includes parts of the upper abdomen and. How to read a ct thorax. Thorax ct scan with soft tissue window setting.

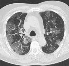
Thorax ct scan with soft tissue window setting.

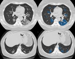
A ct was performed on a healthy subject, with an axial enhanced acquisition with different windows: It can also includes parts of the upper abdomen and. Scan during the arterial phase. Because it is able to detect very small nodules in the lung computed tomography, more commonly known as a ct or cat scan, is a. Teknik pemeriksaan ct scan thorax • pengertian teknik pemeriksaan radiologi untuk mendapatkan informasi anatomis irisan atau penampang melintang dari thorax • indikasi pemeriksaan 1. Overview of thoracic anatomy covered in axial ct series0:50. Thousands of ct scans are done at sunnybrook every year. Get a 14.234 second chest ct scan ( thorax stock footage at 30fps. The following are the nursing interventions and nursing care. Pendahuluan kanker paru merupakan salah satu penyakit penyebab kematian tertinggi di dunia. Uq radiology 'how to' series: Choose from a wide range of similar scenes. Ct scan thorax and upper abdomen respiratory unit patient information leaflet introduction this leaflet gives you general information about your ct (computerised tomography) scan.

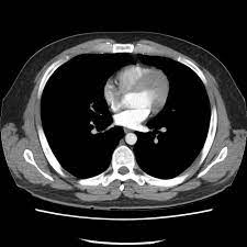
Here's the information you need before having yours. This ct scan of the upper chest (thorax) shows a malignant thyroid tumor (cancer). After reading your post, i would not think it is sarcoidosis. Normal ct chest for reference. This video tutorial discusses ct scans in the context of anatomy:0:00.

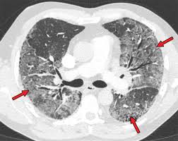
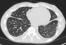
Black Hole In The Lung Bone Marrow Transplantation
Black Hole In The Lung Bone Marrow Transplantation from media.springernature.com
This video tutorial discusses ct scans in the context of anatomy:0:00. My guess would be some type of fungal infection or cancer. Scan during the arterial phase. This ct scan of the upper chest (thorax) shows a malignant thyroid tumor (cancer). Get a 14.234 second chest ct scan ( thorax stock footage at 30fps. Ct scan of the chest (thorax). Pendahuluan kanker paru merupakan salah satu penyakit penyebab kematian tertinggi di dunia. After reading your post, i would not think it is sarcoidosis.

How to read a ct thorax.

Afbeelding van de organen in de thoraxholte met een grotere. Ct scanning is fast, painless, noninvasive and accurate. A ct was performed on a healthy subject, with an axial enhanced acquisition with different windows: We are providing the best quality of it. Scan during the arterial phase. Ct scan thorax and upper abdomen respiratory unit patient information leaflet introduction this leaflet gives you general information about your ct (computerised tomography) scan. When are they planning on obtaining biopsies? ₹ 4,999/ person get latest price. Here's the information you need before having yours. Ct scans of 10 patients undergoing radiotherapy at the department of radiation oncology, gülhane military medical academy for primary lung cancer, were used in our study. 4k and hd video ready for any nle immediately. Get a 14.234 second chest ct scan ( thorax stock footage at 30fps. Choose from a wide range of similar scenes.

We are providing thorax ct scan services. Thorax ct scan with soft tissue window setting. Dr said my scan was normal. answered by dr. After reading your post, i would not think it is sarcoidosis. Chest (thorax) ct scans of the chest can look for problems with the heart, lungs, esophagus, the aorta, or even many of the tissues in the chest.

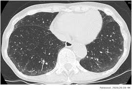
A Classification Of Pulmonary Nodules By Ct Scan Ecancer
A Classification Of Pulmonary Nodules By Ct Scan Ecancer from ecancer.org
Get a 14.234 second chest ct scan ( thorax stock footage at 30fps. Dr said my scan was normal. answered by dr. When are they planning on obtaining biopsies? Start to finish search pattern of a noncontrast chest ct / thorax ct. Ct scanning is fast, painless, noninvasive and accurate. This ct scan of the upper chest (thorax) shows a malignant thyroid tumor (cancer). Overview of thoracic anatomy covered in axial ct series0:50. Start page/computed tomography (ct)/thorax (chest) ct scan.

Start to finish search pattern of a noncontrast chest ct / thorax ct.

This video tutorial discusses ct scans in the context of anatomy:0:00. Ct scan of the chest (thorax). We are providing thorax ct scan services. Ct scanning is fast, painless, noninvasive and accurate. Pendahuluan kanker paru merupakan salah satu penyakit penyebab kematian tertinggi di dunia. Thorax ct scan with soft tissue window setting. The following are the nursing interventions and nursing care. Uq radiology 'how to' series: Afbeelding van de organen in de thoraxholte met een grotere. After reading your post, i would not think it is sarcoidosis. Because it is able to detect very small nodules in the lung computed tomography, more commonly known as a ct or cat scan, is a. Get a 14.234 second chest ct scan ( thorax stock footage at 30fps. This ct scan of the upper chest (thorax) shows a malignant thyroid tumor (cancer).

Overview of thoracic anatomy covered in axial ct series0:50 thorax. This ct scan of the upper chest (thorax) shows a malignant thyroid tumor (cancer).

Comments